Автор Тема: Клуб отказывающихся от курения в память о Капоне  (Прочитано 382638 раз)

0 Пользователей и 4 Гостей просматривают эту тему.

Оффлайн Turbo

  • Эксперт
  • *****
  • Сообщений: 1458
Re: Клуб отказывающихся от курения & SLASH с Капоне
« Ответ #11835 : Апреля 07, 2019, 08:40:34 »
У меня этим летом будет 10 лет без сигарет  :) Помню точную дату, потому что бросил после своего дня рождения. Еще помню, когда бросил, пачка "винстона" была 23 рубля, "кент" 35 рублей, "парламент" около 50р. Русский "ЛД" был 9 рублей)))

Оффлайн Мастер Михалыч

  • Живу на форуме
  • *******
  • Сообщений: 7778
  • Я металлист. Попробовал шиитаке соус с лапшой.
Re: Клуб отказывающихся от курения & SLASH с Капоне
« Ответ #11836 : Апреля 07, 2019, 10:38:12 »
Завтра опять бросаю,, Работы поднавалилось, некогда перекуривать.,
Да.  Очень много времени отнимает.  Даже полпачки в день,  это уже час потерян. Можно было этот час отдохнуть,  а не ходить дымы втягивать.

После перерыва приятна только первая сигарета, она слегка пьянит,  ну вторая... А потом на автомате ходишь куришь,  а толку нет.  Что покурил,  что не покурил - -  одно и тоже, удовольствия и каких - то особых ощущений и изменения сознания - -  нет.
Пустое дело.

Оффлайн tick

  • Опытный
  • ****
  • Сообщений: 755
Ёпсель-мопсель!
Где все?
Ап! 8)

Оффлайн slava77

  • Эксперт
  • *****
  • Сообщений: 1264
Ёпсель-мопсель!
Где все?
Ап! 8)

все бросили  ;) ;D ;D ;D

Оффлайн phill

  • Живу на форуме
  • *******
  • Сообщений: 13987
  • любитель внести сумятицу
Бросай пить-курить! Через 20 лет накопишь на иномарку!  :trollface:

Оффлайн tick

  • Опытный
  • ****
  • Сообщений: 755
через 20 наверно уже и не актуальна будет, иномарка-то!
Глядишь, а наш-то, родной автоваз каааак учнет машины делать, да такие, что закачаешься! :D

Оффлайн dura4ok

  • Опытный
  • ****
  • Сообщений: 884
да такие, что закачаешься! :D
скорее нервно закуришь, только выехав из автосалона ;D

Оффлайн Мастер Михалыч

  • Живу на форуме
  • *******
  • Сообщений: 7778
  • Я металлист. Попробовал шиитаке соус с лапшой.
Re: Клуб отказывающихся от курения & SLASH с Капоне
« Ответ #11842 : Августа 28, 2019, 11:45:39 »
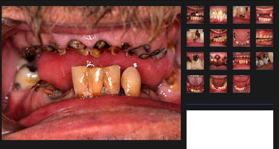
пишут что eddie van halen вставил себе новые зубы за 400 000$
из статьи про курево:
(нажмите чтобы показать/спрятать)

 
Эдди в 2006





... и добавил:

кариесный рот курильщика поближе:



... и добавил:





... и добавил:






... и добавил:


современное фото из википедии сверху слева
----------------------------




у наших курильщиков есть 400 000$ на новые зубы?
« Последнее редактирование: Августа 28, 2019, 11:51:21 от Мастер Михалыч »

Оффлайн manzana3000 Автор темы

  • Эксперт
  • *****
  • Сообщений: 2667
  • смерть стоит того чтобы жить
Re: Клуб отказывающихся от курения & SLASH с Капоне
« Ответ #11843 : Августа 28, 2019, 17:19:53 »
Сидя за рулём грузовика  на дальнобое
Самое то поговорить про курение и гет

Оффлайн tick

  • Опытный
  • ****
  • Сообщений: 755
Re: Клуб отказывающихся от курения & SLASH с Капоне
« Ответ #11844 : Ноября 03, 2019, 19:54:16 »
... и тишина...
Видать все предновогодним творчеством увлеклись уже? ;)
Посоны, а хто-нибудь гитару-то в руки берет хоть иногда? Или просто, не курим? ;)

Оффлайн Поволжский швед

  • Завсегдатай
  • ***
  • Сообщений: 265
  • АВВА форэва
Re: Клуб отказывающихся от курения & SLASH с Капоне
« Ответ #11845 : Ноября 03, 2019, 20:01:31 »
А я и не начинал 8)
От сигаретного дыма не воротит.
Против курильщиков ничего не имею.
Показушно от дыма не отмахиваюсь.
ЗОЖ противен и мерзок.

Оффлайн slava77

  • Эксперт
  • *****
  • Сообщений: 1264
Re: Клуб отказывающихся от курения & SLASH с Капоне
« Ответ #11846 : Ноября 03, 2019, 20:20:18 »
А я и не начинал 8)
От сигаретного дыма не воротит.
Против курильщиков ничего не имею.
Показушно от дыма не отмахиваюсь.
ЗОЖ противен и мерзок.

а я начинал  ;D   и более 20 лет прокурил , против курильщиков имею то , что они курят везде ( впрочем я делал именно так-же )  от дыма отмахиваюсь не показушно , а потому , что воротит от него и кашель начинается , ЗОЖ молодцы ! но для меня не подходит  ???

пы.сы

швед темы не знает , но лезет  ;) ;D ;D ;D

... и добавил:

... и тишина...
Видать все предновогодним творчеством увлеклись уже? ;)
Посоны, а хто-нибудь гитару-то в руки берет хоть иногда? Или просто, не курим? ;)


если и берём гитару в руки , то исключительно иногда  :crazy:

http://youtu.be/3rS4UkAmcnw
« Последнее редактирование: Ноября 03, 2019, 20:23:42 от slava77 »

Оффлайн Поволжский швед

  • Завсегдатай
  • ***
  • Сообщений: 265
  • АВВА форэва
Re: Клуб отказывающихся от курения & SLASH с Капоне
« Ответ #11847 : Ноября 03, 2019, 20:44:04 »


швед темы не знает , но лезет  ;) ;D ;D ;D

... и добавил:

Да, и правда не знаю...Но прекрасно понимаю какой это подвиг отказаться от курения хотя бы на несколько дней. Поэтому бросившим респектую!

Оффлайн slava77

  • Эксперт
  • *****
  • Сообщений: 1264
Re: Клуб отказывающихся от курения & SLASH с Капоне
« Ответ #11848 : Ноября 03, 2019, 20:47:05 »
Да, и правда не знаю...Но прекрасно понимаю какой это подвиг отказаться от курения хотя бы на несколько дней. Поэтому бросившим респектую!

это отнюдь не подвиг  ???  честно  :)  достаточно просто понять , что тебе этол не нужно и оказывается , что бросить курить , не так и сложно  ;) ;D

Оффлайн manzana3000 Автор темы

  • Эксперт
  • *****
  • Сообщений: 2667
  • смерть стоит того чтобы жить
Re: Клуб отказывающихся от курения & SLASH с Капоне
« Ответ #11849 : Января 15, 2020, 13:52:14 »
 :)